Contact Radformation

We're here to help. Contact us with any questions or concerns.

EZFluence

EZFluence simplifies 3D planning with powerful automation—right from the treatment planning system workspace. Designed to optimize eComp* and field-in-field techniques **, it delivers up to 85% time savings while maintaining or enhancing plan quality. Compatible with any beam arrangement and treatment site, EZFluence brings consistency, efficiency, and confidence to every plan from head to toe.

* Eclipse Only
**Eclipse, Monaco & RayStation

Schedule a demo
EZFluence
Automate your 3D planning
See EZFluence in action

TPS Compatibility

  • Eclipse™
  • RayStation® *New
  • Monaco® *New

3D Planning, Automated

EZFluence is an FDA 510(k) cleared, automated 3D planning software. EZFluence generates optimal fluence files and field-in-field plans that import directly into Eclipse, Monaco ® NEW and RayStation® NEW.

Any Site, Any Configuration

EZFluence works for any beam arrangement and any treatment site from head to toe. It standardizes e-comp and field-in-field planning regardless of user while maintaining or improving plan quality compared to manual techniques.

Click a beam to see how EZFluence treats the site.

3D Plan Builder*

Billing justification plans are no longer a hassle or a stress to clinical resources; our automatic 3D plan builder tool takes the pain out of the justification process. In just a few steps, users can generate a 3D plan from IMRT or VMAT.

* Eclipse Only

Breast Planning

EZFluence follows ASTRO’s guidelines for whole breast treatment. Automate field-in-field** and e-comp* planning. Optimize coverage while minimizing the maximum dose and V105%.

  •   Preserve MLC blocking
  •   Generate fluence for the flash region
  •   Use on single or mixed energy plans
  •   Auto-contour the PTV Eval

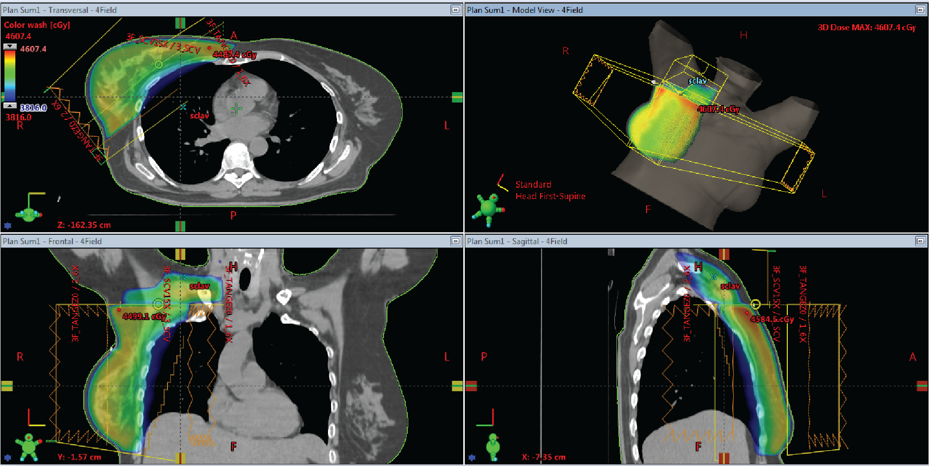
3 & 4 Field Breast Planning

EZFluence automatically sets the SCLAV and PAB field weighting. Control the match line in monoisocentric plans with EZFluence by increasing coverage and minimizing hot spots.

Simultaneous Integrated Boost*

For clinics following RTOG 1005, EZFluence allows the user to boost coverage to lumpectomy volumes. Instantly plan integrated boost plans.

* Eclipse Only
**Eclipse, Monaco & RayStation

Lung Planning

Generate homogenous dose distributions in seconds for 3D lung plans. EZFluence works for any beam arrangement including non-coplanar beams. Say goodbye to wedges and time-consuming field-in-field planning.

Pelvis Planning

Still using wedges for 3-field rectum plans? EZFluence can automatically generate the fluence or field-in-field segments for the lateral beams. Compatible with single energy or mixed energies.

Whole Brain Field-in-Field

EZFluence automatically generates custom segments for patient’s plans. The user sets how many segments desired for each field.

Extremeties & More

EZFluence supports any 3D treatment site.

  •  Larynx
  •  Shoulder
  •  Hips
  •  Ribs
  •  AP-PA Spine
Read the Case Study


The time used to create tangent plans using EZFluence is reduced by 86.4%, from an average of 25.6 minutes with FiF technique to an average of 3.7 minutes using the EZFluence software.


We are definitely loving EZFluence! It has made our 3D treatments with the Halcyon so much easier than before.


[My physicist] just did a 3-field pelvis with no wedges and no hot spots! 100% coverage, and the hot spot was 104%. He did a chestwall plan in 5 minutes and it looked beautiful!

    EZFluence Overview

    By automating your 3D planning, EZFluence streamlines treatment planning while ensuring the highest safety and quality standards of patient care.

    Resources for current EZFluence users

    Keep up with Radformation

    Get the latest news, announcements, and product updates delivered straight to your inbox.